LEIOMIOMA OVARICO: LOCALIZACIÓN INUSUAL DE UNA NEOPLASIA FRECUENTE
CUADRO CLÍNICO:
Mujer de 48 años con antecedentes de 3 gestas, 2 cesáreas y un parto vaginal, que consultó al Servicio de Ginecología y Obstetricia del Hospital Centenario por presentar hipermenorrea y dismenorrea de 10 años de evolución.
Al examen físico la paciente presentaba abdomen globuloso, blando, depresible e indoloro. El examen ginecológico no arrojó datos positivos.
Como parte de la evaluación se realizó una ecografía transvaginal la cual informó que el útero presentaba diámetros aumentados y se identificaban imágenes compatibles con miomas. El ovario izquierdo se encontraba reemplazado por una formación sólida, de aspecto nodular, hipodensa y heterogénea que medía 40 x 28,6 mm. El ovario derecho exhibía características habituales.
Se le realizó anexohisterectomía bilateral.
ANATOMÍA PATÓLOGICA:
La pieza de histerectomía total, presentaba múltiples leiomiomas de localización intramural, subserosa y submucosa cuyo tamaño oscilaba entre 0,5 y 4 cm de diámetro.
El anexo derecho era de características normales.
El anexo izquierdo medía 5 x 4,5 x 4 cm, presentaba superficie externa lisa y blanquecina con un área ligeramente lobulada de estimativamente 3 cm de diámetro máximo. Al corte esta lesión era firme de aspecto fascicular, arremolinada, de bordes bien definidos y tonalidad blanquecina y desplazaba el parénquima ovárico remanente (Fig 1).
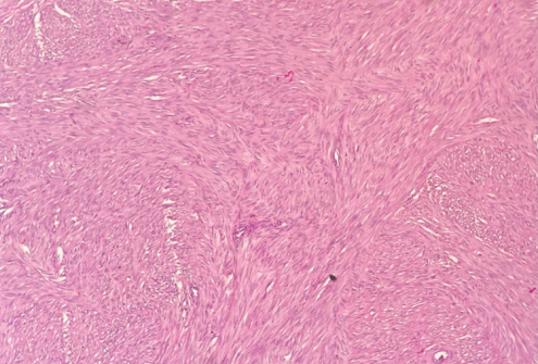
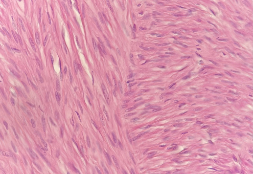
El estudio histológico de la lesión ovárica reveló que la misma se hallaba constituída por una proliferación de músculo liso dispuesta en bandas en diferentes direcciones con ligera hialinización. En la totalidad de los cortes examinados no se reconocieron atipía celular, necrosis, ni actividad mitótica (Fig 2 y 3).
Se identificaba remanente de parénquima ovárico, con numerosos cuerpos álbicans.
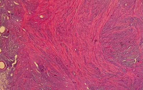
Se realizaron técnicas de histoquímica con Tricrómica de Masson. La misma destacó haces musculares fasciculares teñidos de color rojo, con escasos sectores de hialinización de tonalidad azul (Fig 4) corroborando estos hallazgos, el diagnóstico de leiomioma ovárico.
COMENTARIOS:
Los tumores de músculo liso que asientan en ovárico comprenden 1% de las neoplasias mesenquimáticas anexiales y cabe mencionar que fue originalmente descrito por Sangalli en 1862 .
Los leiomiomas ováricos, suelen presentarse entre la 2da y la 8va década de la vida, con mayor frecuencia en mujeres postmenopáusicas . Por lo general son asintomáticos, y suelen ser un hallazgo incidental, aunque algunas pacientes pueden presentar dolor, distensión y sensación de pesadez abdominal .
La mayoría de estos de tumores son unilaterales y pueden medir entre 1 y 20 cm de diámetro . Macroscópicamente, al igual que su contraparte uterina, se trata de masas sólidas firmes, redondeadas u ovaladas, de superficie lisa o ligeramente lobulada y blanquecina. Al corte, presentan aspecto fascicular y arremolinado de similar tonalidad que en su exterior (Foto 1). No es infrecuente que se presenten en simultáneo con leiomiomas uterinos , tal como sucedió en el caso presentado.
Microscópicamente, el tumor muestra la apariencia típica de un leiomioma. Se encuentran constituídos por células de músculo liso, fusadas, con núcleos alargados o en cigarro, de aspecto monomorfo (Fotos 2 y 3). La actividad mitótica está ausente o es muy baja. La mayoría de los leiomiomas son del tipo convencional, pero pueden observarse tipos celulares, mitóticamente activos, atípicos, mixoides y epitelioides . Las células tumorales forman haces interceptados por 7 tabiques fibrosos que pueden ser anchos y mostrar una hialinización marcada . También pueden estar presentes otros cambios degenerativos observados en los leiomiomas uterinos.
No se conoce con certeza el origen de esta neoplasia, pero existen varias hipótesis acerca de su patogenia. Las más fuertes sugieren que estos tumores benignos se desarrollan a partir del músculo de las paredes de vasos sanguíneos hiliares del ovario; a partir del ligamento ovárico; de células de músculo liso o células multipotenciales presentes en el estroma ovárico; o bien de metaplasia de músculo liso en la corteza ovárica . Al igual que los uterinos, se vincularían a los niveles hormonales de esteroides sexuales.
Las manifestaciones macroscópicas y microscópicas del leiomioma de ovario son muy características, pero debido a su infrecuencia, varios otros tumores deben incluirse en el diagnóstico diferencial. Entre ellos se encuentran:
Fibroma: son tumores estromales fibroblásticos comunes que a menudo tienen fascículos que se asemejan a los tumores de músculo liso. En ocasiones, la diferenciación entre estas dos entidades no resulta simple, sin embargo, la localización cortical y la aplicación de técnicas histoquímicas son de utilidad para definir el diagnóstico. Macroscópicamente son de tamaño variable y la superficie de corte en los casos típicos es blanco brillante y de aspecto fascicular. Las áreas de edema, con formación de quistes, son relativamente frecuentes. Desde el punto de vista histológico se observa proliferación de tejido fibroso, hialinización focal y variable grado de edema.
Tumor esclerosante estromal: son más comunes en mujeres jóvenes, más del 80% se han encontrado durante la segunda y tercera décadas, con una edad promedio al diagnóstico de 27 años . Macroscópicamente es una masa unilateral, discreta y bien delimitada. La superficie de corte es sólida y blanquecina y a menudo muestra áreas de edema, formación de quistes y focos de coloración amarillenta. La microscopía de este tumor exhibe un patrón pseudo lobulillar, en el que los nódulos celulares están separados por áreas de tejido conectivo denso colágeno o edematoso, menos celulares . La presencia de vasculatura dilatada y ramificada, con paredes delgadas, es una característica frecuente. Ocasionalmente, se observan células vacuoladas que contienen lípidos en su interior.
Además de las discrepancias morfológicas comentadas, es de utilidad en el diagnóstico diferencial, valerse de técnicas de histoquímica, como la tinción Tricrómica de Masson (Fig 4), que permite diferenciar componente muscular y tejido conectivo . Las técnicas de Inmunohistoquímica a través de marcadores para músculo liso como Desmina y Actina Muscular Lisa (positivos); e Inhibina y Calretinina, (negativos), son útiles para la confirmación diagnóstica .
PRONÓSTICO: la resección completa es curativa.

Fig 1: aspecto macroscópico: superficie externa y de corte.

Fig 2. Aspecto histológico H&E 10X.

Fig 3. Aspecto histológico H&E 40x.

Fig 4. Positividad para componente muscular con Tricrómica de Masson 5x.