Manna, María Virginia. Médica Residente de 3er año de Anatomía Patológica. Cátedra de Anatomía y Fisiología Patológicas, Facultad de Ciencias Médicas, Universidad Nacional de Rosario.
Corbo, María de Lujan. Médica Anatomopatóloga. Cátedra de Anatomía y Fisiología Patológicas, Facultad de Ciencias Médicas, Universidad Nacional de Rosario.
CASO CLÍNICO
Se presenta el caso de una paciente mujer de 30 años de edad, sin antecedentes de jerarquía, a la que en el contexto de controles post COVID-19 se le realizó una tomografía axial computada (TAC) que reveló una lesión quística a nivel del páncreas.
Al momento del estudio la paciente se encontraba asintomática y al examen físico no mostraba alteraciones. La TAC reveló una voluminosa formación quística de 6 x 6 cm que ocupaba la región corporocaudal del páncreas. La lesión era hiperintensa en T1 y T2 (Fig. 1). Tras la administración de contraste EV y con técnicas de sustracción, se observó sutil realce periférico, no identificándose refuerzo intraquístico ni nódulos murales. Dicha lesión en las secuencias de colangioresonancia no evidenció dependencias o conexiones con el conducto de Wirsung, el cual presentaba calibre luminal preservado. Ante dichos hallazgos, el Servicio de Cirugía del Hospital Provincial del Centenario decidió efectuar tratamiento quirúrgico.
HALLAZGOS ANATOMOPATOLÓGICOS
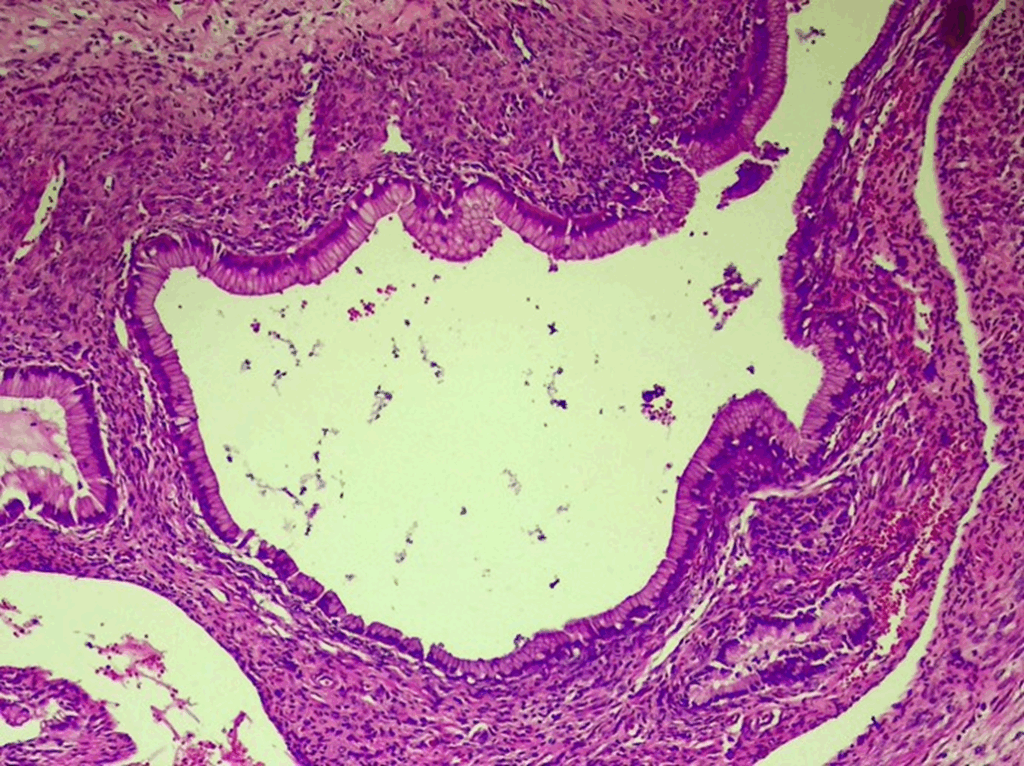
Es especímen era una pieza de esplenopancreatectomía corporocaudal, en la que se identificaba a nivel de cuerpo y cola de páncreas una lesión quística, uniloculada, de paredes lisas y tonalidad pardusca, de 6 x 5 x 3 cm. El resto del parénquima pancreático y el bazo no presentaban alteraciones. Se efectuó el procesamiento macroscópico para su posterior inclusión en parafina. Los cortes histológicos se colorearon con Hematoxilina-Eosina, en los que se evidenció una lesión quística con revestimiento por epitelio cilíndrico simple mucíparo (Fig. 2), sin signos de displasia, que asentaba sobre un estroma fusocelular, similar al del ovario (Fig. 3). El resto de la pared era esclero-hialina, con focos de infiltrado linfoplasmocitario e histiocitario. No se identificó conexión de la lesión con ductos pancreáticos, atipia citológica-arquitectural, ni mitosis. El diagnóstico anatomopatológico fue de Neoplasia Mucinosa Quística de Páncreas de 6 cm de diámetro máximo.
DISCUSIÓN
La Neoplasia Quística Mucinosa de Páncreas (NQMP), según la Organización Mundial de la Salud es por definición una lesión quística caracterizada por presentar revestimiento epitelial tipo mucosecretor, que asienta sobre un estroma fusocelular, de características similares al estroma ovárico (1).
La mayoría (>98%) asientan sobre cuerpo y cola de páncreas, y se presentan principalmente en pacientes mujeres entre la tercera y quinta década de la vida.
Las lesiones de gran tamaño pueden presentarse con síntomas por compresión o como masa abdominal palpable, sin embargo, en general cursan de manera asintomática y su diagnóstico se realiza de manera incidental tras la realización de técnicas de imágenes en el contexto de otras enfermedades.
En imágenes se manifiestan como lesiones quísticas de contornos bien definidos y paredes engrosadas, sin conexión con los ductos pancreáticos principales.
La etiopatogenia de estas lesiones aún se encuentra en discusión. Una de las teorías plantea la posibilidad de que estas lesiones se desarrollan a partir de focos de tejido ovárico ectópico a nivel del páncreas como consecuencia de alteraciones durante el desarrollo embrionario. La misma explicaría su mayor frecuencia en pacientes mujeres y su sensibilidad a estímulos hormonales y factores de crecimiento (2).
La apariencia macroscópica de estas lesiones es de una masa quística unilocular, de paredes fibrosas, que pueden ocasionalmente presentar tabicaciones y calcificaciones. El tamaño promedio es de 6 cm. Su luz puede encontrarse ocupada por material mucinoso o hemático.
Al examen histológico exhiben un revestimiento epitelial simple, de tipo columnar mucosecretor, que asienta sobre un estroma celular fusado característico, similar al estroma ovárico.
Estas lesiones pueden presentar atipia citoarquitectural (pérdida de la polaridad nuclear con pseudoestratificación, atipia citológica, mitosis y proyecciones papilares complejas hacia la luz de la lesión) y en función de ello categorizarse como “NQMP con displasia de bajo grado” o “NQMP con displasia de alto grado”. En un 15% de los casos se pueden asociar a carcinoma invasor. La presencia de una masa tumoral grande (>5cm) con nódulos papilares macroscópicamente visibles, son sospechosos de componente invasor asociado. Sin embargo, éste puede también manifestarse de manera focal y microscópica, por lo que es importante hacer un estudio exhaustivo de la pieza.
Se puede complementar el estudio histológico con técnicas de inmunohistoquímica. Las células epiteliales son inmunoreactivas para CK7, CK8, CEA y MUC5AC. El estroma tipo ovárico expresa actina muscular lisa, desmina, receptor de estrógenos (30%) y progesterona (60-90%).
El diagnóstico diferencial principal es la Neoplasia Mucinosa Papilar Intraductal de Páncreas (1,3,4). Las características esenciales a tener en cuenta en este caso son la conexión de la lesión con los ductos pancreáticos principales y la ausencia de estroma de tipo ovárico a nivel de la pared.
El pronóstico de las NMQP no asociada a carcinoma invasor es excelente, presentando una sobrevida del 100% de las pacientes a los 5 años del diagnóstico. Sin embargo, cuando éstas se asocian a carcinoma invasor la sobrevida cae al 26% a los 5 años del diagnóstico.
BIBLIOGRAFÍA
1- WHO Classification of tumors – Digestive System Tumours. International Agency for Research on Cancer. 5th edition. 2019
2- Zamboni, G., Scarpa, A., Bogina, G., Iacono, C., Bassi, C., Talamini, G., Sessa, F., Capella, C., Solcia, E., Rickaert, F., Mariuzzi, G. M., & Klöppel, G. (1999). Mucinous cystic tumors of the pancreas: clinicopathological features, prognosis, and relationship to other mucinous cystic tumors. The American journal of surgical pathology, 23(4), 410–422. https://doi.org/10.1097/00000478- 199904000-00005
3- Crippa S, Salvia R, Warshaw AL, Domínguez I, Bassi C, Falconi M, Thayer SP, Zamboni G, Lauwers GY, Mino-Kenudson M, Capelli P, Pederzoli P, Castillo CF. Mucinous cystic neoplasm of the pancreas is not an aggressive entity: lessons from 163 resected patients. Ann Surg. 2008 Apr;247(4):571-9. doi: 10.1097/SLA.0b013e31811f4449. PMID: 18362619; PMCID: PMC3806104
4- Basturk, O., Hong, S. M., Wood, L. D., Adsay, N. V., Albores-Saavedra, J., Biankin, A. V., Brosens, L. A., Fukushima, N., Goggins, M., Hruban, R. H., Kato, Y., Klimstra, D. S., Klöppel, G., Krasinskas, A., Longnecker, D. S., Matthaei, H., Offerhaus, G. J., Shimizu, M., Takaori, K., Terris, B., Baltimore Consensus Meeting (2015). A Revised Classification System and Recommendations From the Baltimore Consensus Meeting for Neoplastic Precursor Lesions in the Pancreas. The American journal of surgical pathology, 39(12), 1730–1741. https://doi.org/10.1097/PAS.0000000000000533

Figura 1. TAC de abdomen – Corte coronal.

Figura 2. 10x – Lesión quística revestida por epitelio cilíndrico simple mucíparo, que asienta sobre estroma fusocelular similar al del ovario.

Figura 3. 40x – Lesión quística revestida por epitelio cilíndrico simple mucíparo, que asienta sobre estroma fusocelular similar al del ovario.