CUADRO CLÍNICO.
Paciente de sexo masculino de 36 años, sin antecedentes de jerarquía, que consultó a la guardia general por un cuadro de 4 horas de evolución de pérdida del campo visual nasal superior, de inicio repentino mientras se encontraba utilizando videojuegos frente a una pantalla, sin que medie traumatismo alguno.
No presentaba otra signosintomatología. Fue evaluado por el servicio de oftalmología el cual constató la presencia de una lesión tumoral exofítica y negruzca que ocupaba parcialmente la cámara posterior del ojo derecho.
Se le realizó TAC de cráneo, la cual mostró una lesión de aspecto sólido, con discreto realce a la administración de contraste EV, de morfología ovoidea, contornos definidos, en topografía de cámara posterior de ojo derecho, en íntimo contacto con la cara posterior del cristalino y membrana interna de retina. TAC de tórax, abdomen y pelvis sin hallazgos patológicos. Se decidió la realización de cirugía de enucleación.
HALLAZGOS ANATOMOPATOLÓGICOS.
La pieza de enucleación remitida presentaba esclera lisa y blanquecina con presencia, en la región inferior, de una lesión puntiforme pardusca de 0,1 cm de diámetro. Al corte se identificó, en la superficie interna de la cámara posterior, en su región inferior y en contacto con la cara posterior del iris, una lesión fungoide, densa y negruzca de 1,2 cm de diámetro, la cual no compromete nervio óptico, cristalino ni cámara anterior. (Fig. 1)
El estudio histológico evidenció la presencia de un melanoma uveal, que asienta en la parte anterior de coroides y cuerpo ciliar, comprometiendo focalmente la pars plana y focalmente la pars plicata de este último. (Fig. 2)
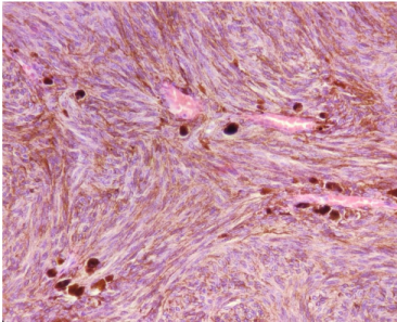
El mismo se hallaba constituído por células fusiformes,sin necrosis ni infiltración linfocitaria significativa. No se observó infiltración escleral. Las estructuras oculares remanentes presentaban características habituales. (Fig. 3)
DISCUSIÓN.
Es destacable el rol que ha ocupado la Anatomía Patologica en la comprensión de los melanomas uveales. El estudio citológico al microscopio óptico y la aplicación de técnicas de inmunohistoquímica, entre otros métodos, han contribuido al descubrimiento y descripción de diferentes características pronósticas y clínicas. 1 La mayorìa de estas lesiones asientan en la coroides, sin embargo se describe que pueden originarse de las células pìgmentadas de otras áreas del tracto uveal (como cuerpo ciliar e iris) . Cabe mencionar que en estos últimos sólo localiza la cuarta parte de los casos Los términos melanoma coroideo u ocular son alternativos ya que la mayoría del tracto uveal es coroideo, aunque este último término debe evitarse ya que implica la inclusión de melanomas conjuntivales y anexiales, que se comportan y se manejan como tumores cutáneos primarios. 2-3 Su incidencia mundial es de unos 7000 casos al año, representando el 5% de los melanomas primarios. La edad media de diagnóstico es de 40 – 45 años, con una relación mujer/hombre 2:1.4 Un 25% de los pacientes es asintomático al momento del diagnóstico. Los restantes presentan fotopsias o pérdida de la visión. Ocasionalmente puede presentarse con dolor, enrojecimiento o glaucoma. Las formas bilaterales son extremadamente raras. 4 Los factores de riesgo para el desarrollo de esta neoplasia incluyen la presencia de un nevus coroideo, que se puede observar hasta en 7 a 8% de la población caucásica. Aún no se ha definido el rol de la exposición a la luz ultravioleta y se postula que las personas con mutaciones de la línea germinal BAP1 tienen un mayor riesgo de melanoma uveal y cutáneo.2 La clasificación del melanoma maligno de úvea data del año 1931 cuando Callender los clasificó basándose en criterios citológicos e histológicos. Esta clasificación sigue siendo ampliamente aceptada y usada por la mayoría de los patólogos y oftalmólogos. Se catalogan a las células del melanoma en dos tipos citológicos principales: fusocelulares y epitelioides. Los melanomas fusocelulares, como su nombre indica, están constituidos por células fusiformes que se agrupan formando haces apretados de células muy cohesivas entre sí, de límites celulares poco netos, dando la apariencia de un sincitio. El citoplasma presenta un carácter fibrilar o finamente granular. 5 Los melanomas de células epitelioides están constituidos por células más grandes y pleomórficas. Éstas adoptan forma poligonal y el citoplasma es abundante e intensamente eosinófilo. Los límites celulares están muy bien definidos, apareciendo, frecuentemente, un espacio extracelular entre células adyacentes. Esta pérdida de cohesión es característica de las células epitelioides y es uno de los principales criterios para distinguirlas de las células fusiformes. Habitualmente presentan un nucleolo central y eosinófilo. Ocasionalmente se pueden ver células epitelioides multinucleadas y bizarras. La actividad mitótica es habitualmente mayor en las células epitelioides que en las fusiformes. 5 COMENTARIOS
Los factores pronósticos más significativos son el tamaño tumoral, el compromiso del cuerpo ciliar y la extensión extraocular, ya que se relacionan directamente con el riesgo de metástasis.

Fig. 1: cortes transversales de la lesión melánica.

Fig. 2: HE. 100X Cuerpo ciliar y lesión neoplásica.

Fig. 3: HE. 400X. Componente neoplásico fusado con carga melánica.