Calzone, María Ayelén. Médica residente. Cátedra de Anatomía y Fisiología Patológicas. Facultad deCiencias Médicas – UNR. Hospital Provincial del Centenario.Corbo, María de Luján. Médica patóloga.
Cátedra de Anatomía y Fisiología Patológicas. Facultad de Ciencias Médicas – UNR. Hospital Provincial del Centenario.
PRESENTACIÓN DEL CASO
Paciente mujer de 51 años, ex tabaquista, sin otros antecedentes de jerarquía, que consultó porcuadro de un año de evolución de dolor abdominal en epigastrio, exacerbado en los últimos dosmeses, asociado a pérdida de peso y episodios aislados de hematemesis y melena. Presentó ademásanemia sintomática que requirió transfusiones en tres oportunidades. Se le realizó videoendoscopíadigestiva donde se observó en la pared anterior de cuerpo gástrico una lesión vegetante que fuebiopsiada. El resultado anatomopatológico fue de adenocarcinoma predominantemente de célulasclaras. Las técnicas de inmunohistoquímica realizadas tuvieron como resultados Citoqueratina 7positivo, PAX-8 negativo, CDX-2 positivo focal, cadherina 17 negativo, citoqueratina (AE1/AE3)positivo, GATA 3 negativo, favoreciendo al diagnóstico de compromiso gástrico por unadenocarcinoma poco diferenciado, más probablemente primario.
Se decidió efectuar gastrectomía subtotal con reconstrucción tipo Billroth II (gastro-yeyuno y entero-entero anastomosis).
HALLAZGOS ANATOMOPATOLÓGICOS
Se remitió al servicio de Anatomía Patológica una pieza de gastrectomía subtotal, epiplón mayor ysegmento de epiplón menor. La serosa era lisa y brillante, excepto en un área de 3,2cm en regiónposterosuperior donde se encontraba opaca y despulida. Abierta la pieza se identificó sobrecurvatura mayor del cuerpo gástrico y con extensión a las caras anterior y posterior, una lesióntumoral exofítica, de bordes sobreelevados, granular y pardusca que medía 7,5cm x 7cm x 4cm. Alcorte era densa y blanquecina (Fig. 1). El material se procesó de forma habitual y se obtuvieronpreparados que se colorearon con Hematoxilina-Eosina.
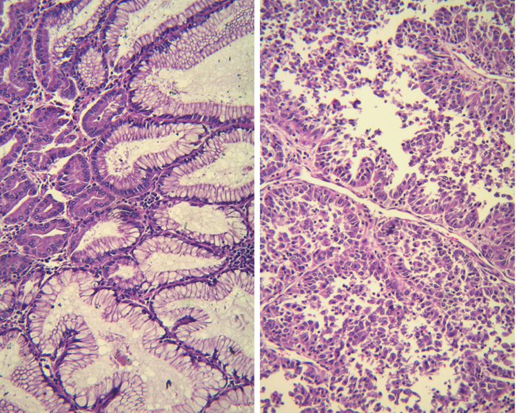
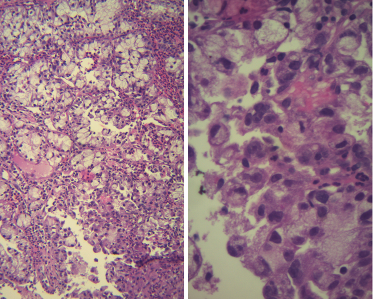
El estudio histológico evidenció compromiso por un adenocarcinoma gástrico de tipo mixto(combinación subtipo tubular, papilar y pobremente cohesivo con células en anillo de sello). (Fig 2 y 3)
El tumor invadía hasta el tejido conectivo subseroso. Se examinaron además un total de 21 ganglioslinfáticos, uno de los cuales presentó una metástasis focal con extensión extraganglionar. Laestadificación patológica fue pT3 pN1 pMx.
Se le realizó técnicas de inmunohistoquímica no observándose sobreexpresión de la proteínaproducto del gen Her2/neu, y baja probabilidad de inestabilidad microsatelital (IMS).
La paciente realizó numerosas complicaciones postquirúrgicas (destacando shock séptico), continuócon controles oncológicos y tratamiento mnquimioterápico.
En cuanto a la evolución cabe destacar que diez meses posteriores al diagnóstico la paciente presentóepisodios de hemorragia digestiva alta, anemia y dolor abdominal con requerimiento de múltiplestransfusiones. Se detectó recidiva de lesión tumoral gástrica con signos de invasión local. Se intentóembolización mediante cateterismo sin éxito por lo que se evaluará la reintervención quirúrgica,dependiendo del estado general de la paciente.
DISCUSIÓN
El adenocarcinoma gástrico es una neoplasia maligna que ocupa el tercer lugar en relación a lamortalidad en el mundo. Su incidencia es mayor en Asia central y del este, Europa del este ySudamérica. (1, 2)
El 90% de los casos son esporádicos, en tanto el 10% restante presentan una etiologíafamiliar/hereditaria.
Entre los agentes con evidencia de carcinógenos gástricos se encuentran: Helicobacter pylorii,tabaquismo, radiación X, industria de fabricación de caucho, virus Epstein-Barr (VEB) y factoresdietarios. (1, 2)
La infección crónica por Helicobacter pylorii se cree es la responsable de la mayoría de los cáncergástricos. Se presume que causa mutaciones en el ADN de las células epiteliales y cambiosepigenéticos que conducen a una gastritis atrófica, metaplasia intestinal y displasia (“cascada dePelayo Correa”). (1, 4)
Los tumores gástricos en estadío temprano (tipo 0), confinados a la mucosa o submucosa, sesubclasifican macroscópicamente en: Tipo 0-I (lesiones polipoides mayores a 3mm), Tipo 0-II(superficiales, tipo 0-IIa apenas sobreelevadas, menores a 3mm; tipo 0-IIb lesiones planas; tipo 0-IIcapenas deprimidas) y Tipo 0-III (excavadas). (1, 2)
Los carcinomas gástricos avanzados (invaden más allá de la submucosa) se subclasifican macroscópicamente según la clasificación de Borrmann: Tipo 1 (masa polipoide bien delimitada), Tipo 2 (tumores ulcerados con márgenes sobreelevados, y engrosamiento de la pared gástrica bien delimitado), Tipo 3 (similar al 2 pero con engrosamiento parietal de límites poco claros) y Tipo 4 (tumores ulcerados con pared indurada de márgenes indefinidos). (1, 2)
En cuanto al fenotipo histológico se han publicado varias clasificaciones (de la Asociación Japonesa de Cáncer Gástrico; WHO; Nakamura et al. y de Laurén). Son cinco los principales subtipos de adenocarcinoma gástrico propuestos por la WHO: tubular, papilar, pobremente cohesivo (incluye carcinoma con células en anillo de sello y otros subtipos), mucinoso y mixto. (1)
El adenocarcinoma mixto presenta una frecuencia relativa del 6-22%. Se trata de un carcinoma con dos o más componentes histológicos: tubular/papilar y pobremente cohesivo. Estos tumores suelen presentar diseminación hematógena y comprometer la serosa (1). Se ha visto que presentan un peor pronóstico en enfermedad avanzada, comparado con el adenocarcinoma clásico y mucinoso, pero similar al pobremente cohesivo. (3)
En pacientes con enfermedad avanzada, la evaluación de la inestabilidad microsatelital y expresión de PDL1 permite detectar posibles targets para inmunoterapia, y la determinación de HER2 brinda información acerca de los pacientes pasibles de recibir terapia anti-ERBB2.
BIBLIOGRAFÍA
1- WHO Classification of tumors – Digestive System Tumors. International Agency for Research on Cancer. 5th edition. 2019
2- Goldblum J., Ozde R. Ozde and Goldblum Surgical Pathology of the GI Tract, Liver, Biliary Tract and Pancreas. 3ra Ed. Elsevier Saunders. 2015
3- Zhao X, Li Y, Yang Z, Zhang H, Wang H, Lin J, Liu J, Zhao Q. Adenocarcinoma with Mixed Subtypes in the Early and Advanced Gastric Cancer. Can J Gastroenterol Hepatol. 2021 Oct 29;2021:8497305. doi: 10.1155/2021/8497305. PMID: 34746042; PMCID: PMC8570884.
4- Sánchez-Cuén, Jaime Alberto, Irineo-Cabrales, Ana Bertha, Bernal-Magaña, Gregorio, & Peraza- Garay, Felipe de Jesús. (2016). Regresión de la metaplasia intestinal gástrica tras la erradicación de la infección por Helicobacter pylori en un hospital de México. Revista Española de Enfermedades Digestivas, 108(12), 770-775. https://dx.doi.org/10.17235/reed.2016.4194/2016

Fig. 1 – Tumor gástrico Tipo I de la clasificación de Borrmann.

Fig. 2 – Adenocarcinoma gástrico subtipo tubular/papilar.

Fig. 3 – Presencia de células en anillo de sello en el mismo tumor.
Esta entrada fue publicada en Casos 2022 y etiquetado 2022, casos,septiembre. Guarda el permalink.
