VARÓN JÓVEN CON REEMPLAZO DE CADERA BILATERAL POR CUADRO DE NECROSIS ÓSEA AVASCULAR (NOA) ASOCIADO AL ABUSO DE SUSTANCIAS.
PRESENTACIÓN DEL CASO
Paciente de sexo masculino de 35 años con antecedentes de polimiositis hace 5 años y absceso glúteo secundario a inyección de medicación, a partir del cual presentó como complicación una artritis séptica de cadera derecha. En este contexto el paciente incurrió al abuso de glucocorticoides por dolor. Refirió además adicción a opiáceos (nubaína), consumo ocasional de marihuana, alcohol y antecedente de adicción a cocaína endovenosa e inhalada, habiendo abandonado hace dos años.
Comenzó cuatro meses atrás con coxalgia bilateral, diagnosticándose necrosis ósea avascular (NOA), osteomielitis en cadera derecha y bacteriemia a Stafilococcus Aureus meticilino sensible (SAMS). Se realizó toilette de cadera derecha y colocación de espaciador, el cual es posteriormente retirado por persistencia del dolor. Se tomaron nuevas muestras para cultivos obteniéndose desarrollo de Enterobacter, Escherichia coli y Klebsiella pneumoniae. También se le realizó toilette de cadera izquierda con toma de cultivos óseos sin rescate de gérmenes.
El paciente cursó internación prolongada en otro efector para tratamiento antibiótico endovenoso. Se le realizó RMI que informó en cadera derecha restos de material protésico a nivel endomedular, tejido patológico heterogéneo ocupando el espacio articular y delimitando una colección líquida heterogénea y edema de tejidos blandos. En cadera izquierda se informó osteonecrosis con pérdida de esferocidad habitual, marcado edema óseo y aumento de líquido articular.
Se decidió su derivación al Hospital Centenario donde se lo intervino quirúrgicamente, con colocación de espaciador en cadera izquierda y toma de muestras para cultivos de ambas caderas las cuales presentaron resultados negativos.
HALLAZGOS ANATOMOPATOLÓGICOS
Se recibió en el servicio de Anatomía Patológica pieza de resección de extremo proximal de fémur izquierdo que midió 6×4,5cm. La superficie externa era blanquecina, lisa y despulida con focos erosionados. Al corte el tejido era duro firme y blanquecino amarillento, a nivel subcondral. El material se decalcificó en ácido nítrico al 7% y se procesó de forma habitual.
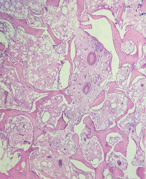
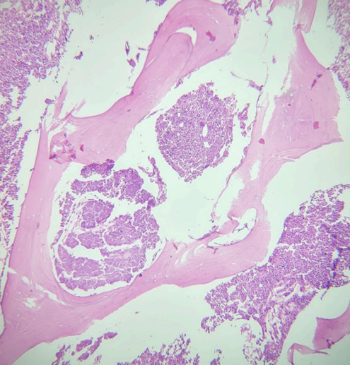
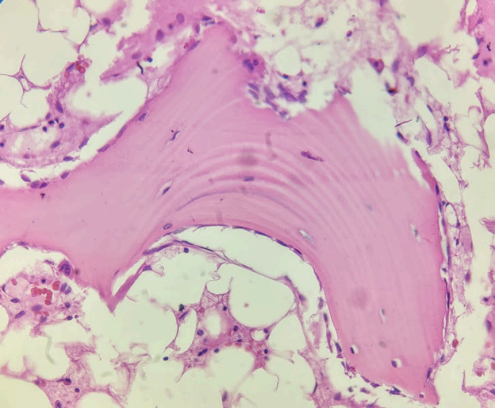
El estudio histológico evidenció osteomielitis crónica supurativa asociada a necrosis ósea. (Fig. 1 a 3)
DISCUSIÓN
La necrosis avascular de la cabeza del fémur es una patología multifactorial caracterizada por la destrucción progresiva de la arquitectura ósea.
Es una enfermedad clínica incapacitante que se caracteriza por un flujo sanguíneo local disminuido que lleva a muerte de osteocitos y de médula ósea. Provoca alteración de la histoarquitectura, fracturas subcondrales, dolor de cadera insidioso y finalmente, pérdida de la función articular con colapso de cabeza femoral si no se interviene oportunamente. Para su desarrollo, los eventos 1 isquémicos deben ser constantes y repetitivos.
Afecta predominantemente a adultos jóvenes de entre 30 y 50 años, con mayor prevalencia en hombres que en mujeres.
La etiopatogenia es variable. La isquemia puede ser el resultado de una lesión vascular externa o 1
interna, causada por trauma directo, oclusión vascular o toxicidad celular directa. Las causas no traumáticas incluyen el consumo crónico de alcohol, terapia con corticoesteroides, enfermedades hematológicas, abuso de drogas, transplante de órganos, enfermedades del tejido conectivo (lupus eritematoso sistémico, vasculitis), enfermedades infiltrativas (enfermedad de Gaucher), infecciones, enfermedades endocrinológicas (hiperparatiroidismo), enfermedades metabólicas (hipercolesterolemia, hiperuricemia), enfermedad de Legg-Clavé-Perthes, entre otras. Gran parte de los casos se consideran idiopáticos.
El resultado final, independiente del mecanismo causal, corresponde a una interrupción del flujo sanguíneo local que progresa a isquemia crítica, con posterior necrosis de células hematopoyéticas y adipocitarias y edema intersticial medular. Posteriormente ocurre hiperemia reactiva y revascularización capilar en la periferia de la zona necrótica, e inicio del proceso de reparación que consiste tanto en la resorción como en la producción ósea. En las trabéculas subcondrales, la absorción ósea excede la formación, que lleva a un adelgazamiento y pérdida de integridad estructural de las mismas, fractura subcondral e incongruencia articular.
El mecanismo subyacente en la osteonecrosis inducida por glucocorticoides se explica por el aumento del tejido adiposo medular, lo que resulta en un aumento de la presión intraósea y disminución de la perfusión sanguínea. Se asocia además a émbolos grasos e hipercoagulabilidad. Recientemente se ha descripto la apoptosis de los osteocitos inducida por los glucocorticoides que también influye en la 3 instalación de esta patología.
COMENTARIOS
El caso comentado se trata de un paciente que presentaba varios factores de riesgo para el desarrollo de necrosis en ambas cabezas femorales. Se destacan el consumo crónico de alcohol, el uso de corticoesteroides y el abuso de drogas como opiáceos y cocaína. Los hallazgos imagenológicos y la clínica permitieron plantear el diagnóstico que se confirmó con el estudio anatomopatológico.
Cuando esta patología se asocia a cuadros infecciosos puede resultar un desafío terapéutico. Las infecciones de las grandes articulaciones, especialmente la cadera, son complicaciones frecuentes del uso prolongado de drogas intravenosas.
Las opciones terapéuticas dependen del grado de compromiso de la articulación. El manejo conservador se prefiere en pacientes con bajo grado. Por otra parte, el manejo quirúrgico es la opción para lesiones más avanzadas.

Figura 1: Trabéculas óseas adelgazadas y espacios medulares ocupados por tejido fibroso laxo vascularizado.

Figura 2: Osteonecrosis e infiltrado inflamatorio agudo

Figura 3: Trabéculas óseas remodeladas.