Carrera de Medicina
Carrera de Medicina - Información
Noticias

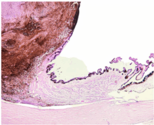
NEOPLASIA QUÍSTICA MUCINOSA DE PÁNCREAS
Manna, María Virginia. Médica Residente de 3er año de Anatomía Patológica. Cátedra de Anatomía y Fisiología Patológicas, Facultad de Ciencias Médicas, Universidad Nacional de Rosario. Corbo, María de Lujan. Médica Anatomopatóloga.

Programa ayudante-estudiante | Áreas 3º de año
De acuerdo a la Resolución CD Nro. 2522/2014 “Reglamento del Programa de Ayudante-Estudiante (iniciación en la formación docente específica)” de la FCM y a la Resolución Decanal Nro 4106/2022 Se convoca

Programa ayudante-estudiante | Áreas 2º de año
De acuerdo a la Resolución CD Nro. 2522/2014 “Reglamento del Programa de Ayudante-Estudiante (iniciación en la formación docente específica)” de la FCM y a la Resolución Decanal Nro 4108/2022 Se convoca

Simposio 2022. Promoción y prevención en salud gineco obstétrica
El viernes 24 de junio de 8.30 a 17.30 h tendrá lugar el primer Simposio de Grado 2022 en Promoción y prevención en salud gineco obstétrica en el Anfiteatro Débora Ferrandini.

MELANOMA UVEAL
CUADRO CLÍNICO. Paciente de sexo masculino de 36 años, sin antecedentes de jerarquía, que consultó a la guardia general por un cuadro de 4 horas de evolución de pérdida del campo

Trámite de Egreso – COHORTE 56
Toda la documentación enviada debe estar en formato .PDF, en un solo archivo por cada ítem (tamaño máximo del archivo 5 Mb), de ambas caras, debe ser legible y con buena

XXIX Olimpiada Académica Nacional de Estudiante de Medicina
Nuestra Facultad participará en las XXIX Olimpíada Académica Nacional de Estudiantes de Medicina que se llevarán a cabo los días: 9, 10 y 11 de septiembre de 2022, en la ciudad

Pasantía para estudiantes de Medicina
La Secretaría de Políticas Estudiantiles informa que se encuentra disponible la convocatoria para participar de las pasantía de: SIES La documentación se recepcionará en la Secretaría de Políticas Estudiantiles. Modelo Curriculum Vitae
