Saltar al contenido
Facebook Twitter Instagram Youtube
FCM
  • INSTITUCIONAL
    • Novedades
    • Autoridades
    • Nodocentes
    • FAFEMP
    • Biblioteca
    • Protocolos COVID-19
    • Revista FCM
    • Hall de la Memoria
  • SECRETARÍAS
    • Académica
    • Estudiantil
    • Extensión
    • Género
    • Ciencia, Tecnología e Innovación
    • Relaciones Internacionales
    • Secretaría Técnica
    • Diplomas
  • DOCENTES
    • Concursos
    • Formación Docente
    • Obra Social UNR
    • Listado único de evaluadores
    • Aulas Virtuales
  • ESTUDIANTES
    • Medicina
    • Enfermería
    • Fonoaudiología
    • Terapia Ocupacional
    • Ingresantes 2026
    • Punto de Conectividad
    • Pasantías
    • Becas
    • Acompañamiento Pedagógico
    • SUM La Cúpula
  • DISCIPLINAS
    • Anatomía Patológica
  • GRADUADOS
  • CONSULTAS

Biblioteca de casos

Metástasis tumoral inusual de una patología frecuente

Ver Caso

ENFERMEDAD DE KIKUCHI-FUJIMOTO

Ver Caso

NÓDULO PULMONAR:NO ES LO QUE PARECE

Ver Caso

MOE abdominal oligosintomática

Ver Caso

Enfermedad Injerto contra huésped

Ver Caso

HIDATIDOSIS PULMONAR. UNA ZOONOSIS ENDEMICA EN NUESTRO MEDIO.

Ver Caso

MUJER ADULTA CON LESIÓN GÁSTRICA ANEMIZANTE

Ver Caso

APENDICITIS ATÍPICA. UN DESAFÍO DIAGNÓSTICO

Ver Caso

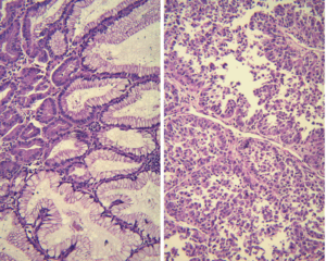
NEOPLASIA QUÍSTICA MUCINOSA DE PÁNCREAS

Ver Caso

MELANOMA UVEAL

Ver Caso

Necrosis ósea avascular

Ver Caso

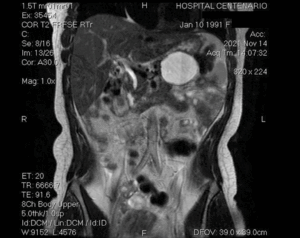
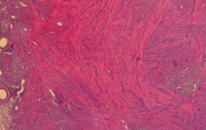
LEIOMIOMA OVÁRICO

Ver Caso

Facultad de Ciencias Médicas
Universidad Nacional de Rosario
Santa Fe 3100, Rosario, Argentina
(+54) 341 4362300

Facebook Twitter Instagram Youtube
Facebook Twitter Instagram Youtube
© 2026 FCM - Todos los derechos reservados